近日,西藏阜康医院普外科成功为一名肝包虫术后复发性患者实施了巨大肝包虫外囊完整摘除术。
患者是来自西藏那曲嘉黎县的一名56岁藏族女性,家庭长期以务农、畜牧为主要经济来源。
· 既往治疗
既往在其他医院接受过肝包虫手术治疗;
· 再次发现
1年前体检时再次发现有腹腔包虫,因当时无不适且包虫较小,故未行任何治疗;
· 出现症状
2020年2月前,患者出现上腹隐痛不适,时好时坏,疼痛向右肩背部放射,在当地行B超检查发现腹腔包虫较大,建议前往内地三级医院进行相关治疗;
· 入院治疗
患者家庭经济条件差,无力到内地治疗,到拉萨多家医院求治,均建议到内地大医院治疗,怀着最后一丝希望来到我院普外科。
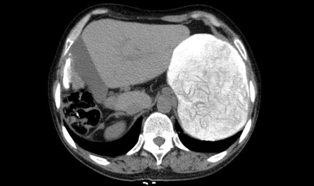
蒋宗华主任凭借多年对肝包虫病发展过程中的研究分析了解,结合患者病情及相关检查后,考虑该患者虽然既往做过包虫手术造成肝右叶部分缺如,现再次复发巨大肝包虫,位置且在肝胃间系间呈现巨大椭圆形高密度,边界清晰,大小约148mm*100mm,手术难度大,风险高,但仍有把握完成其“肝包虫外囊摘除术”,本着医院“患者需求至上”的核心价值观,西藏阜康医院普外科决定收治该患者。

红色闪动部分为患者肝包虫区域
普外科随即组织科内人员针对此患者进行手术方式术前讨论,经过详细而周密的术前讨论,决定为该患者行剖腹探查肝包虫外囊完整摘除术。

因包虫病属寄生虫类疾病,若采用保守常规内囊摘除术及一但术中包囊破裂引流冲洗不到位势必会造成术后复发及创面种植率增高,故此选择完整外囊摘除术并能完全遏制包虫病且降低术后复发率。

此次手术由蒋宗华主任医师为主刀,陈新副主任医师为一助,为患者实施巨大肝包虫外囊完整摘除术。手术顺利完成,患者出血仅50ml,生命体征平稳,平安返回病房,进行术后抗炎、补液、换药等对症治疗,术后10天康复出院。

为感谢蒋宗华主任医师带领医师团队成功完成救治行动,患者于出院当日为医护人员送上了一面面炙热的锦旗。

藏公网安备 54010202000281号
医疗广告审查证明文号:藏医广[2021]第4-9-05号




