近日,西藏大学附属阜康医院肝胆外科收治了一名患者,患者是一名体重高达93公斤的中年男性,因腹痛难忍到院检查,患者告知医生:这样的疼痛有一年左右了,平时尚可忍受,但近期疼痛加剧,就想到医院做个检查,看看是什么原因引起的。

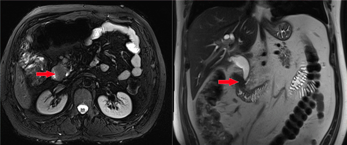
CT(电子计算机断层扫描)检查
经过与患者详细沟通,医生为患者进行了CT、MRCP、胃镜等相关检查,以明确患病原因、病灶位置等情况。经相关检查及医生诊断,患者被诊断为十二指肠肿瘤,而且肿瘤已经侵犯到胰头。

MRCP(磁共振胰胆管造影)检查
主诊医生为患者及患者家属详细说明了病灶情况,并讲解了疾病可能带来的后果以及手术可能面临的风险等问题。在患者及家属详细了解后,患者还是希望能够通过手术来进行治疗。
由于该患者手术指针明确,属于限期手术。肝胆外科杨闯主任当天就组织开展了多学科联合会诊,对该患者病情进行详细评估并拟定诊疗方案。

经术前积极准备和完善,在杨闯医疗团队及麻醉科曾浩医疗团队的精诚协作下“腹腔镜胰十二指肠切除术”顺利完成,术后即转入重症监护室(ICU)监护治疗。
重症监护治疗2天后,患者病情平稳,转回肝胆外科病房进行后续治疗,现该患者已顺利康复出院。出院后,患者及患者家属为感谢我院各科室医生的联合救治,特为各科室医生送来锦旗,并对我院表示了衷心的感谢。

此次“腹腔镜胰十二指肠切除术”是我院首次开展的手术,该手术的成功实施离不开医院的大力支持及各学科的相互配合与协作,更离不开患者及患者家属的理解和支持,同时也填补了我院在该项领域的空白。
藏公网安备 54010202000281号
医疗广告审查证明文号:藏医广[2021]第4-9-05号




