近日,西藏大学附属阜康医院肝胆外科收治了一名青年男性患者,患者因腹部疼痛来院治疗,经医生与患者沟通及初步检查后,考虑疑似胆管扩张症。

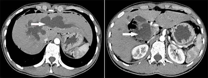
腹部增强CT显示肝内外胆管囊状病变
为尽快解除病痛,早日回归正常生活,主管医生与患者及患者家属就该疾病进行了详细沟通和交流,进行了腹部增强CT、MRCP等相关检查,明确了病因和疾病位置,患者诊断为先天性胆管扩张症(Ⅳ型)、肝内外胆管结石,并进行了住院治疗。

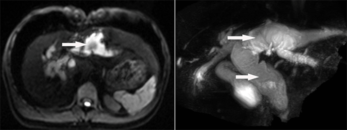
MRCP显示肝内外胆管囊状病变及胆管结石
经科室内全体医生讨论,先天性胆管扩张症的并发症发生率高达20~60%,且有一定癌变率,癌变率随患者年龄增大而递增。该患者病变广泛并波及肝内外胆管,除肝外胆管显著囊状扩张外,肝内胆管囊状扩张以左半肝内胆管显著并胆管结石,患者手术指针明确。

肝胆外科主管医生再次与患者和患者家属交流,并进行了科普知识讲解及治疗方式讲解。经充分的术前准备和完善,手术如期进行。在杨闯主任主刀下,医疗团队为该患者顺利实施腹腔镜手术(腹腔镜左半肝切除术+胆管囊肿切除术+胆肠吻合、肠肠吻合术,重建胆肠通路)。
术后,该患者在肝胆外科医护人员的精心治疗及护理下顺利康复出院,医护人员为患者及患者家属详细讲解了护理知识及饮食事项,并要求患者一定要按要求护理和饮食。
本次肝胆外科开展的“腹腔镜半肝切除联合胆管囊肿切除胆肠吻合术”,是我院开展的新技术之一。该技术的开展填补了我院在该领域的空白,标志着我院在微创外科手术方面又迈上新台阶,同时促进了学科的规范化专科化建设。
藏公网安备 54010202000281号
医疗广告审查证明文号:藏医广[2021]第4-9-05号




