近日,西藏阜康医院肝胆外科采用超声吸引刀系统(CUSA)进行精细化的肝脏外科技术操作,为多名肝脏占位病变患者成功实施肝切除手术。
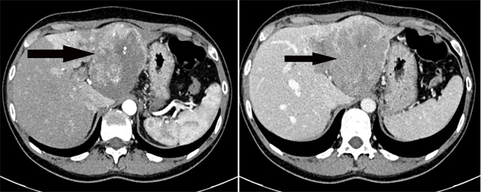
患者1,33岁女性,因“腹部胀痛不适半月”入院,经CT检查提示肝左叶巨大占位性病变,伴门静脉左支癌栓形成,考虑肝恶性肿瘤。

患者2,10岁女性,因“发现肝脏包块4天” 入院,经CT检查提示肝右叶占位性病变,考虑肝细粒棘球蚴病。

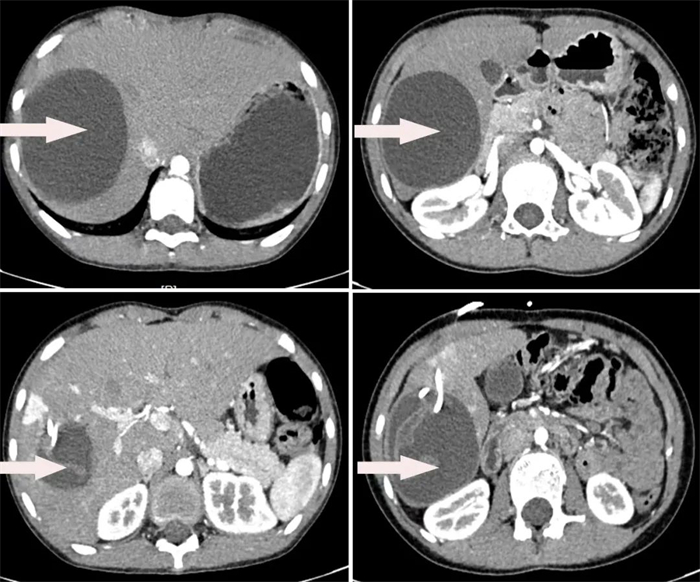
患者3,55岁女性,因“上腹部疼痛1周”入院,经MRI检查提示肝内占位性病变,累及胆囊、横结肠,考虑肝恶性肿瘤。

通过充分的术前评估与准备后,医生就手术方案、手术相关并发症及预后与患方进行了详细沟通,患方表示支持与理解。医生对上述患者分别进行了腹腔镜左半肝切除术,腹腔镜右半肝切除术,开腹中肝叶切除联合横结肠切除术。

术后患者康复顺利,送锦旗表达诚挚的感谢!

阜康医院高度重视学科的发展,积极为科室的新技术、新业务的开展创造有利条件。超声吸引刀系统在肝脏外科的应用,提升了肝胆外科的技术水平,提高了患者肝脏手术的安全性,为患者的健康带来福音。
藏公网安备 54010202000281号
医疗广告审查证明文号:藏医广[2021]第4-9-05号




