近日,在心血管内科朱永彪主任的带领下成功开展了介入房间隔缺损封堵术,这是西藏阜康医院继开展冠状动脉支架植入术、起搏器植入术等手术后,心脏介入诊疗技术的再次突破。

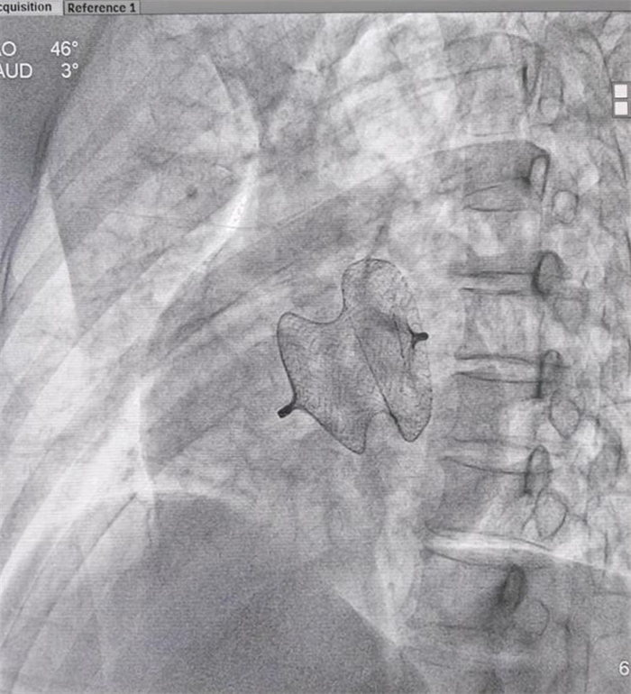
一名中年女性患者,因“间断心慌、气促、水肿1年加重1周,反复头晕”收治入院,诊断为先天性心脏病——房间隔缺损。经进一步详细检查心脏结构,确定了患者房缺最大直径约30mm,左向右分流。考虑到患者年龄,合并严重肺动脉高压等因素,经详细术前讨论认为患者可以采取经皮房间隔缺损封堵治疗方案。征得患者和家属同意后,7月26日为患者施行介入手术。
本次手术为微创手术,患者术后10小时即下床活动,患者及家属对手术结果非常满意。此介入手术避免了传统开胸、体外循环等高风险因素。

该项新技术的突破,标志着西藏阜康医院心血管内科在结构性心脏病的介入治疗上迈出坚实的一步。
藏公网安备 54010202000281号
医疗广告审查证明文号:藏医广[2021]第4-9-05号




