近日,我院心血管内科成功进行了一例左侧椎动脉开口重度狭窄球囊扩张+药物涂层支架植入术。


2024年4月10日在心血管内科朱永彪主任医师的参与指导下,在心血管内科介入团队和介入导管室的精细配合下,以微创介入的手术方式,在局麻下成功为患者实施了左侧椎动脉开口重度狭窄球囊扩张+药物涂层支架植入术,术后椎动脉狭窄明显改善,脑血流流速明显增快。
患者卓玛(化名),女,64岁, 因反复头晕来我院就诊。弓上血管CT增强诊断:1.头臂干粥样硬化,管腔局部轻度狭窄;2.右侧颈总动脉远段粥样硬化,管腔轻度狭窄;3.左颈总动脉远端少许附壁血栓形成;双侧颈内动脉C4-C6段钙化斑块,管腔轻度-中度狭窄,右侧为著;4.右侧大脑中动脉较左侧纤细,未见局限性狭窄;5.右优势型椎动脉;6.左侧椎动脉起始部非钙化斑块,管腔中度-重度狭窄;7.右侧大脑前动脉A1段较对侧纤细,考虑先天变异。行弓上血管造影提示:左侧椎动脉开口重度狭窄(狭窄90%)。

心血管内科朱永彪主任为患者查体并结合辅助检查结果分析后认为,该患者因左侧椎动脉开口重度狭窄引起颅内供血不足,从而导致其反复出现头晕、头痛。据“颅外椎动脉狭窄处理中国专家共识”:患者左侧椎动脉开口狭窄>70%,且合并头晕头痛的临床症状,故具有血运重建指征。其通过单纯药物治疗后头晕症状缓解不明显,治疗效果不佳,下一步只有行椎动脉狭窄支架置入术治疗才能缓解临床症状。通过向患者及家属讲解病情,耐心沟通血管内介入治疗的获益及风险后,家属同意行左侧椎动脉开口重度狭窄球囊扩张+药物涂层支架植入术。

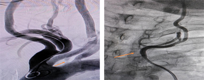
手术前(左):左侧椎动脉开口重度狭窄
手术后(右):左侧椎动脉开口支架植入后狭窄解除
整个术程迅速且顺利,术后造影证实支架位置良好,打开完全,狭窄解除,血流通畅。术后第二日患者诉头晕明显改善,未诉特殊不适,正常下床活动。患者及家属向心血管内科医护团队由衷地表示感谢。

在今后的工作中,阜康医院心血管内科将持之以恒攻坚克难,秉承“仁心仁术,止于至善”的院训,践行“让患者在我院看得起病,让患者在我院看得好病,让患者愿意来我院看病”的服务理念,依托于医院的建设,不断提升专业技术水平,改善医疗服务,细化管理,以精湛的技术、优质的服务,真正做到让西藏百姓在家门口就能享受到内地同等的医疗技术服务!