11月26日,一名中年女性患者,因“右上腹部反复疼痛10年”慕名前往西藏大学附属阜康医院肝胆外科就诊,经初步检查怀疑是肝包虫病。
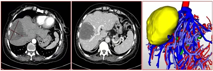
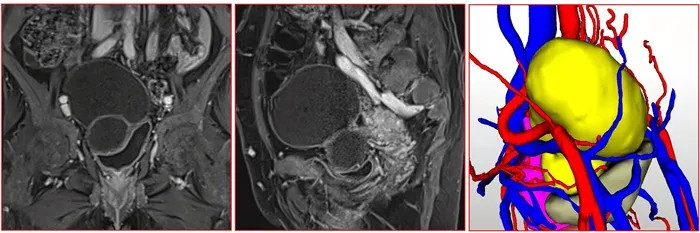
入院后肝胆外科经CT、核磁共振检查发现肝脏及盆腔有巨大肿块,考虑肝脏包虫病、盆腔包虫病或盆腔畸胎瘤的可能。因病灶与血管关系密切,盆腔肿块性质待定,需多学科联合会诊决定治疗方案。

肝脏包虫病灶

盆腔包虫病灶
在医务科副主任李进的主持下,肝胆外科、妇科、麻醉科、放射科、ICU等科室组成了MDT团队对该患者诊治方案进行了深入讨论。全体一致认为该患者肝包虫病、盆腔包虫病诊断明确,手术指征明确,但病灶与重要血管及周围组织器官关系密切,手术难度较大。

MDT团队多学科协作讨论诊治方案
经充分术前准备,12月6日在肝胆外科杨闯主任团队与麻醉科曾浩主任团队的密切配合下,顺利为该患者完成肝脏包虫病灶及盆腔包虫病灶切除术。术后患者返回病区接受后续康复治疗。


本次手术充分体现了西藏大学附属阜康医院多学科诊疗模式(MDT)的优越性,打破了学科之间壁垒的同时,有效推进了学科建设,实现了各科资源和优势的最大化整合,提高了诊疗质量,改善了患者就医体验,切实做到了为患者的健康保驾护航。
藏公网安备 54010202000281号
医疗广告审查证明文号:藏医广[2021]第4-9-05号




